Vanessa Dlamini, MD (she/her/hers)
Resident Physician
University of Washington
UNIVERSITY OF WASHINGTON
Seattle, WA, United States
Disclosure information not submitted.
dirir abdullahi, MD
Fellow
University of Washington
University of Washington
seattle, WA, United States
Disclosure information not submitted.
Alexa T. Andre, MD
Resident
University of Washington
Seattle, Washington, United States
Disclosure information not submitted.
Mukta Krane, MD (she/her/hers)
Associate Professor of Surgery, Chief of Section of Colorectal Surgery
University of Washington
University of Washington Medicine
Seattle, WA, United States
Disclosure information not submitted.
Betelhem Yohannes, MD
Resident
University of Washington
Seattle, Washington, United States
Disclosure information not submitted.
Ragavan Siddharthan, MD
Assistant Professor
University of Washington
Seattle, WA, United States
Disclosure information not submitted.
Caption; MRI pelvis, thin blue arrow represents rectal mass, thick blue arrow represents fetus.
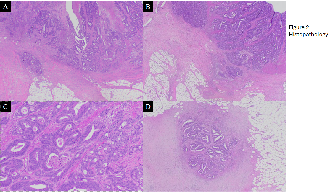
Histologic sections show residual adenocarcinoma (C) invading through the muscularis propria and into the pericolorectal tissue (A-B). Two separate tumor deposits were identified (D).