Yuen-Joyce Liu, MD
Resident
University of Connecticut
University of Connecticut
Farmington, CT, United States
Disclosure information not submitted.
Alyson Cunningham
Disclosure information not submitted.
Eric Girard
Disclosure information not submitted.
Robert J. McLoughlin, MD MSCI FACS
Assistant Professor
UConn Health
Farmington, Connecticut, United States
Disclosure information not submitted.
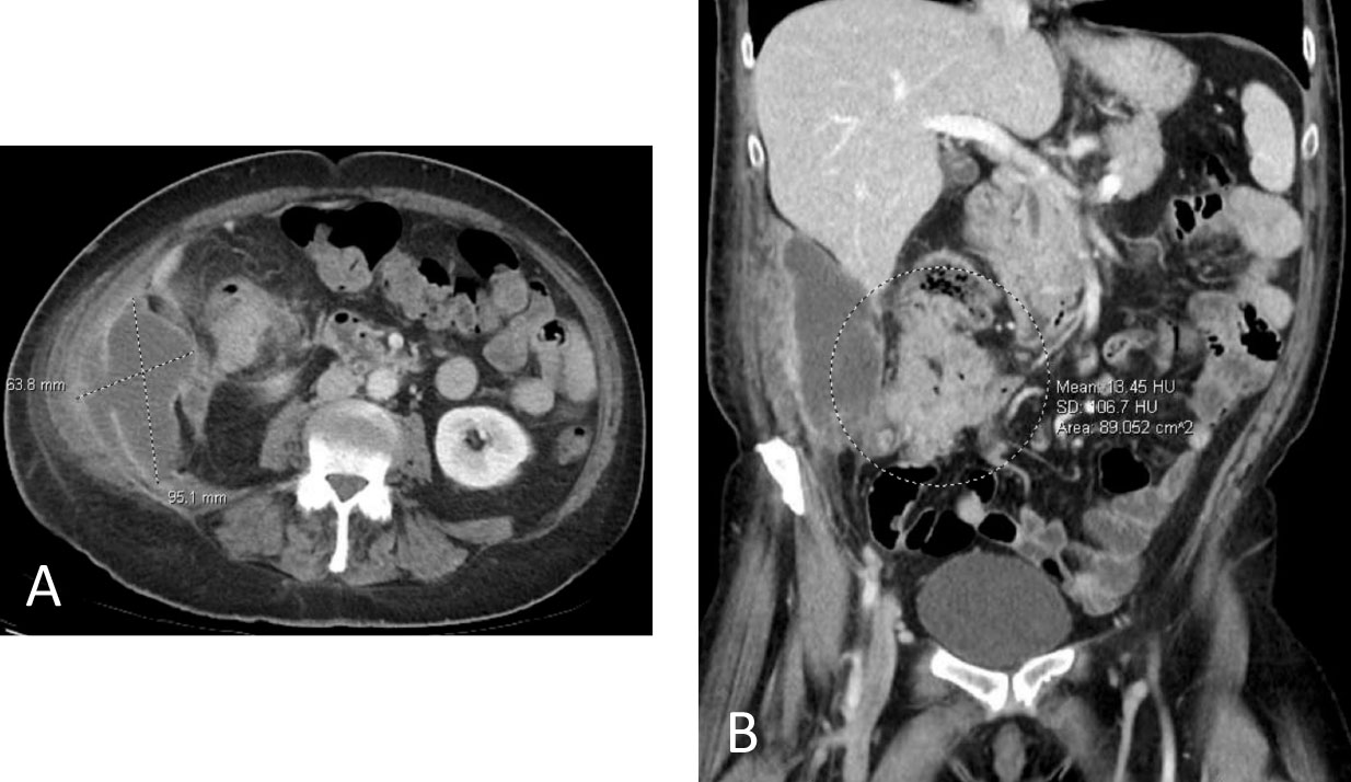
CT (A) axial and (B) coronal views.
A large mass was found in the cecum with involvement of the small bowel.